
EXPOSIÇÃO
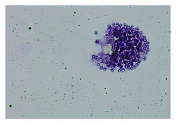
Artefato
O que não é nada também pode ser belo
Um mundo encantado e mágico visto pelas lentes do microscópio

Sobre a exposição
O olhar atento e criativo da fotógrafa e patologista clínica veterinária, Gisele Conti, transformou fotos microscópicas em uma exposição que aguça a curiosidade de adultos e crianças. A mostra é gratuita e é composta por 20 fotografias feitas em 2023 no laboratório veterinário onde a patologista clínica atua.
Artefato é o nome técnico que se dá quando é encontrado algo na lâmina do microscópio que não tem importância para o diagnóstico clínico. Excesso de corante, glóbulo de gordura, células rompidas, pelo em lâmina, são alguns exemplos do que as pessoas verão na exposição que mistura arte e ciência.
Ficha técnica
Comunicação e marketing: MADÍ Comunicação e Produção Cultural
Tradução em Libras: Gesiel Guirra
Fotografia: Ary Souza
Oficinas de arte: Marina Dias (artista visual)
Contação de histórias: Rarus Circus
Curadoria das obras da exposição: Gisele Nassif Conti
Montagem das exposições: Rogério Baldini
Abertura do evento
Oficina de arte


Fotografia de artefatos
feitas com microscópio
Sobre a fotógrafa Gisele Conti
É médica veterinária, especializada em patologia clínica veterinária e atua também como professora e palestrante. Em sua primeira participação em exposições fotográficas, ganhou 1º lugar na Categoria Microscopia Óptica com a foto Metástase: O poder da neoplasia, em 2017. Gisele também ministra oficinas de fotografia, onde aborda temas relacionados ao olhar fotográfico contemporâneo.





Atividades
A mostra "Artefatos: o que não é nada também pode ser belo" conta com uma série de atividades que priorizam o conhecimento, sobretudo, ao público infantil. Um universo lúdico feito que, além da exposição artística, também abrange contação de histórias, oficina de arte e vídeo com acesso em Libras (Lígua Brasileira dos Sinais).























































